Scroll through our Smile Gallery slideshows to see examples of Dr. Jang’s excellent dentistry skills. Contact our office today to see how he can revive your tooth and smile!
Simple Implant
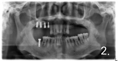
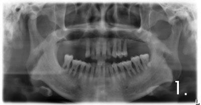
Set up surgical plan with x-ray
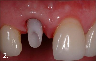
Placing implant
taking X-ray to secure safe implant surgery
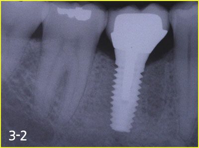
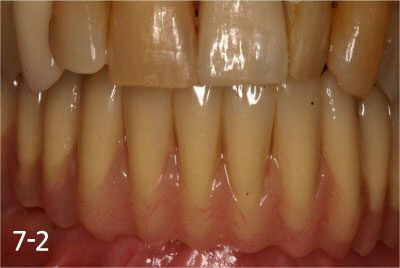
Taking impression and fabricating implant crown 2-3 months after surgery
Taking impression and fabricating implant crown 2-3 months after surgery
Bone Graft
Gum bone is depressed after extraction
Gum bone is depressed after extraction
Performing implant placement and bone graft
Implant crown is fabricated after successful bone graft and implant placement
Implant crown is fabricated after successful bone graft and implant placement
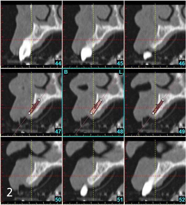
Taking 3D dental CT to evaluate the necessary of bone graft and figure out the amount of bone graft
Maxillary Sinus Bone Graft
Case #1
There is not enough bone to place implant on upper and left side.
Performed sinus graft more than 90% of bone required to place implant
Placing implant in bone graft site
Implant crown was fabricated
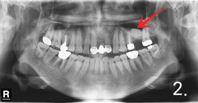
Case #2
Before the surgery. There is not enough bone at back site to place implants
Implant placement and sinus bone graft were performed simultaneously on right side. Only sinus bone graft was performed on left side due to the lack of the residual bone to place implant simultaneously
Implant placement was performed a few months after sinus bone graft
All implant crowns were fabricated and delivered. All teeth functions were restored.
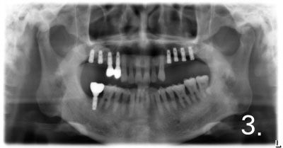
Case #3
This case is referred from other dental clinic to Dr. Jang due to sinusitis and implant failure. There is basically not enough bone to place implant.
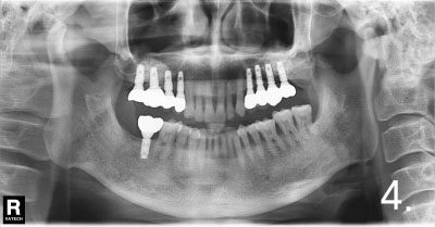
After removal of failed implant and treatment for maxillary sinusitis, sinus bone graft was performed successfully
Implant placement and crown fabrication were completed without any complication
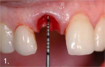
Immediate Implant Placement
Placing implant right after extraction
Connecting abutment
Cementation of implant crown to begin function
5. Immediate Loading after implant placement
Totally edentulous status on lower jaw
Fit surgical guide for precise implant placement
Removal of gum at exact site for implant placement with dental laser
Placing Implants
Connection of temporary cylinder for provisional bridge
Provisional bridge to use right after placing implants
This is after bonding provisional bridge. Patient can have strong teeth in a few hours
This is after bonding provisional bridge. Patient can have strong teeth in a few hours
Flapless Implant Surgery with Laser
Before the surgery. There is no incision to place implant
After implant placement. There is almost no bleeding and suture
Implant Over-Denture
Placing implant for over-denture
Engaging attachment to implant
Engaging attachment inside denture
After engaging attachment with implant and denture. Now, patient can feel comfortable with denture much more than before
We use cookies to enhance your browsing experience and analyze our traffic. By clicking "Accept", you consent to our use of cookies.